Decyzja o wszczepieniu implantów zębowych jest często trudna i wiąże się z wieloma pytaniami, w tym tym najważniejszym: czy to boli? Warto zacząć od tego, że każdy pacjent jest inny i odczuwa ból na swój sposób. Zazwyczaj jednak, podczas samego zabiegu, pacjenci są znieczuleni miejscowo, co znacznie minimalizuje dyskomfort. Znieczulenie sprawia, że nie czujemy bólu w trakcie wszczepiania implantu. Po zakończeniu zabiegu mogą wystąpić pewne dolegliwości, takie jak obrzęk czy lekkie uczucie dyskomfortu. Lekarze zazwyczaj zalecają stosowanie środków przeciwbólowych, które pomagają złagodzić te objawy. Ważne jest również, aby pacjenci przestrzegali zaleceń lekarza dotyczących pielęgnacji jamy ustnej po zabiegu, co może przyspieszyć proces gojenia i zmniejszyć ewentualny ból. Warto także pamiętać, że każdy organizm reaguje inaczej na zabieg i niektórzy pacjenci mogą odczuwać mniejsze lub większe dolegliwości po jego zakończeniu.
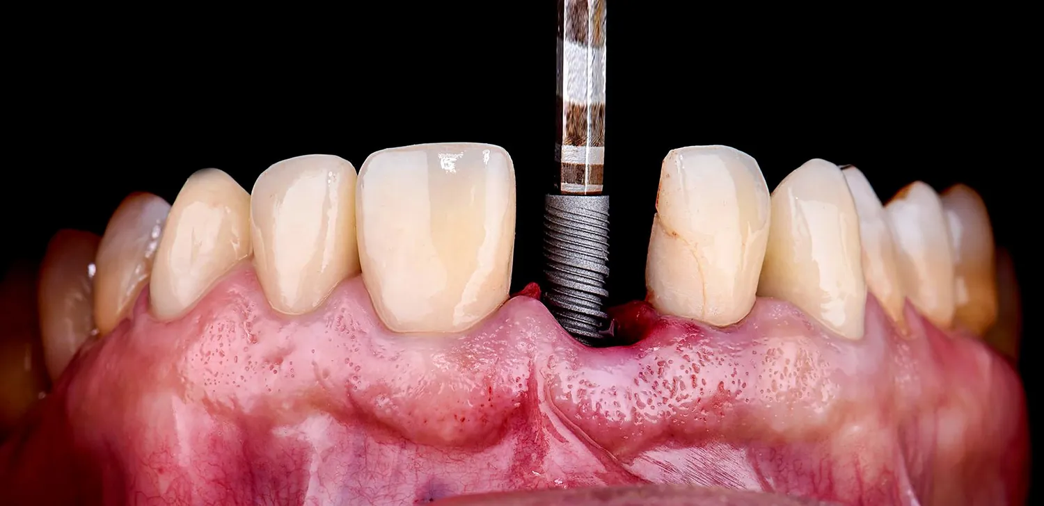
Czy implanty zębów bolą podczas zabiegu i po nim?
Wielu pacjentów zastanawia się nad tym, jak wygląda proces wszczepienia implantów zębowych oraz jakie odczucia mu towarzyszą. Warto podkreślić, że nowoczesne techniki stomatologiczne oraz zastosowanie znieczulenia miejscowego sprawiają, że sam zabieg jest zazwyczaj bezbolesny. Pacjenci często opisują go jako porównywalny do standardowego leczenia kanałowego. Po zakończeniu zabiegu mogą wystąpić pewne objawy bólowe, które są naturalną reakcją organizmu na ingerencję chirurgiczną. W ciągu pierwszych dni po zabiegu pacjenci mogą odczuwać ból oraz obrzęk w okolicy wszczepienia implantu. To normalne zjawisko, które można złagodzić za pomocą przepisanych leków przeciwbólowych oraz zimnych okładów na twarz. Ważne jest również unikanie twardych pokarmów oraz dbanie o higienę jamy ustnej w sposób delikatny, aby nie podrażnić okolic implantu.
Jak długo trwa proces gojenia po wszczepieniu implantów?

Implanty zębów czy boli?
Proces gojenia po wszczepieniu implantów zębowych jest kluczowym etapem całej procedury i może trwać różnie w zależności od indywidualnych predyspozycji pacjenta oraz jego ogólnego stanu zdrowia. Zazwyczaj pierwsza faza gojenia trwa od kilku dni do kilku tygodni. W tym czasie organizm zaczyna odbudowywać tkankę kostną wokół implantu oraz adaptować się do nowego elementu w jamie ustnej. Warto zaznaczyć, że pełne osseointegracja implantu, czyli proces integracji implantu z kością szczęki, może trwać nawet kilka miesięcy. W przypadku osób z dobrym stanem zdrowia i odpowiednią ilością tkanki kostnej proces ten przebiega szybciej niż u pacjentów z problemami zdrowotnymi lub niedoborem kości. Po zakończeniu fazy gojenia lekarz stomatolog przystępuje do kolejnego etapu leczenia, czyli zakupu korony protetycznej na implant.
Czy istnieją alternatywy dla implantów zębowych?
Wielu pacjentów poszukuje informacji na temat alternatyw dla implantów zębowych, zwłaszcza jeśli mają obawy związane z bólem lub czasem rekonwalescencji. Istnieje kilka opcji leczenia braków zębowych, które mogą być rozważane w zależności od indywidualnych potrzeb pacjenta. Jedną z najpopularniejszych alternatyw są mosty protetyczne, które polegają na osadzeniu sztucznych zębów na sąsiednich zdrowych zębach. Mosty są mniej inwazyjne niż implanty i mogą być wykonane szybciej, jednak wymagają szlifowania zdrowych zębów sąsiadujących. Inną opcją są protezy ruchome lub stałe, które również mogą skutecznie zastąpić brakujące zęby. Protezy są bardziej ekonomiczne niż implanty, ale mogą być mniej komfortowe i stabilne w porównaniu do rozwiązań implantologicznych. Należy również wspomnieć o możliwościach ortodontycznych w przypadku braku pojedynczego zęba lub niewielkich luk międzyzębowych.
Jakie są koszty związane z implantami zębowymi?
Koszty związane z wszczepieniem implantów zębowych mogą się znacznie różnić w zależności od wielu czynników, takich jak lokalizacja gabinetu stomatologicznego, doświadczenie lekarza oraz rodzaj zastosowanych materiałów. W Polsce ceny implantów wahają się zazwyczaj od kilku do kilkunastu tysięcy złotych za jeden implant, co obejmuje zarówno koszt samego implantu, jak i zabiegu chirurgicznego oraz późniejszej odbudowy protetycznej. Warto również pamiętać, że w niektórych przypadkach konieczne może być przeprowadzenie dodatkowych procedur, takich jak augmentacja kości czy sinus lifting, co zwiększa całkowity koszt leczenia. Wiele osób zastanawia się także nad możliwością finansowania zabiegu. Niektóre kliniki oferują różne formy płatności ratalnej lub współpracują z instytucjami finansowymi, które umożliwiają rozłożenie kosztów na dogodne raty. Przed podjęciem decyzji o wszczepieniu implantu warto dokładnie zapoznać się z ofertą różnych gabinetów oraz porównać ceny i zakres usług.
Jak przygotować się do zabiegu wszczepienia implantu?
Przygotowanie do zabiegu wszczepienia implantu zębowego jest kluczowym krokiem, który może wpłynąć na powodzenie całej procedury oraz komfort pacjenta. Przed przystąpieniem do zabiegu pacjent powinien odbyć konsultację ze stomatologiem, podczas której lekarz oceni stan zdrowia jamy ustnej oraz przeprowadzi niezbędne badania diagnostyczne, takie jak zdjęcia rentgenowskie czy tomografia komputerowa. Na podstawie tych informacji lekarz podejmie decyzję o możliwości wszczepienia implantu oraz zaplanuje odpowiednią strategię leczenia. Ważne jest również, aby pacjent poinformował lekarza o wszystkich przyjmowanych lekach oraz chorobach przewlekłych, które mogą wpływać na proces gojenia. Na kilka dni przed zabiegiem zaleca się unikanie alkoholu oraz palenia papierosów, ponieważ te czynniki mogą negatywnie wpłynąć na gojenie się ran. Pacjent powinien również zadbać o odpowiednią higienę jamy ustnej i ewentualnie wykonać profesjonalne czyszczenie zębów w gabinecie stomatologicznym.
Jak wygląda rehabilitacja po wszczepieniu implantów zębowych?
Rehabilitacja po wszczepieniu implantów zębowych jest istotnym etapem procesu leczenia i ma na celu zapewnienie prawidłowego gojenia oraz integracji implantu z tkanką kostną. Po zabiegu pacjent może odczuwać ból i dyskomfort, które zazwyczaj ustępują w ciągu kilku dni. W tym czasie ważne jest przestrzeganie zaleceń lekarza dotyczących diety oraz higieny jamy ustnej. Zaleca się spożywanie miękkich pokarmów i unikanie twardych lub gorących potraw przez pierwsze dni po zabiegu. Pacjenci powinni również dbać o regularne mycie zębów, jednak w okolicy implantu należy to robić ostrożnie, aby nie podrażnić rany. W miarę upływu czasu i poprawy stanu zdrowia pacjenci mogą stopniowo wracać do normalnej diety i codziennych aktywności. Regularne wizyty kontrolne u stomatologa są kluczowe dla monitorowania procesu gojenia i ewentualnego wykrywania problemów na wczesnym etapie. Po zakończeniu fazy gojenia następuje etap odbudowy protetycznej, który polega na osadzeniu korony na implancie.
Czy implanty zębowe mają jakieś skutki uboczne?
Jak każdy zabieg medyczny, wszczepienie implantów zębowych może wiązać się z pewnymi skutkami ubocznymi lub powikłaniami. Choć większość pacjentów przechodzi przez ten proces bez większych problemów, istnieje ryzyko wystąpienia niepożądanych reakcji organizmu. Najczęściej zgłaszanym skutkiem ubocznym jest ból oraz obrzęk w okolicy miejsca wszczepienia implantu, które powinny ustąpić w ciągu kilku dni po zabiegu. Inne potencjalne problemy to infekcje w miejscu wszczepienia lub reakcje alergiczne na materiały użyte do produkcji implantu. W przypadku wystąpienia jakichkolwiek niepokojących objawów, takich jak nasilający się ból czy ropienie rany, pacjent powinien niezwłocznie skontaktować się ze swoim stomatologiem. Rzadziej występującym powikłaniem jest brak integracji implantu z kością, co może prowadzić do jego odrzucenia.
Jak długo utrzymują się efekty po wszczepieniu implantów?
Efekty po wszczepieniu implantów zębowych mogą utrzymywać się przez wiele lat, a nawet przez całe życie pacjenta przy odpowiedniej pielęgnacji i regularnych wizytach kontrolnych u stomatologa. Implanty wykonane z wysokiej jakości materiałów biokompatybilnych są bardzo trwałe i odporne na działanie bakterii oraz próchnicy. Kluczowym czynnikiem wpływającym na długowieczność implantów jest jednak zdrowie jamy ustnej pacjenta oraz jego styl życia. Osoby palące papierosy lub narażone na choroby przyzębia mogą mieć większe ryzyko utraty implantu w przyszłości. Dlatego tak ważne jest dbanie o higienę jamy ustnej poprzez regularne szczotkowanie zębów oraz stosowanie nici dentystycznych czy płukanek antybakteryjnych. Regularne wizyty u stomatologa pozwalają na monitorowanie stanu zdrowia jamy ustnej oraz wykrywanie ewentualnych problemów na wczesnym etapie. Odpowiednia dieta bogata w składniki odżywcze wspiera zdrowie kości i tkanek miękkich wokół implantu, co również wpływa na jego trwałość.
Czy każdy może mieć wszczepione implanty zębowe?
Decyzja o wszczepieniu implantów zębowych nie zawsze jest możliwa dla każdego pacjenta i zależy od wielu czynników zdrowotnych oraz anatomicznych. Przede wszystkim kluczową rolę odgrywa stan tkanki kostnej szczęki lub żuchwy – musi ona być wystarczająco mocna i gęsta, aby pomieścić implant. W przypadku niedoboru kości lekarz może zalecić przeprowadzenie dodatkowych procedur chirurgicznych, takich jak augmentacja kości czy sinus lifting, które mają na celu poprawienie warunków anatomicznych do wszczepienia implantu. Ponadto osoby cierpiące na przewlekłe schorzenia takie jak cukrzyca czy choroby serca powinny być poddane szczegółowej ocenie medycznej przed podjęciem decyzji o zabiegu. Ważnym aspektem jest także styl życia pacjenta – palenie tytoniu czy nadużywanie alkoholu mogą negatywnie wpłynąć na proces gojenia i integracji implantu z kością.




