Odbudowa kości pod implanty to proces, który może różnić się w zależności od wielu czynników. Czas trwania tego procesu jest uzależniony od stanu zdrowia pacjenta, rodzaju ubytku kostnego oraz zastosowanej metody odbudowy. W przypadku pacjentów z niewielkimi ubytkami kostnymi, proces ten może trwać od kilku miesięcy do roku. Z kolei w sytuacjach, gdy konieczne jest przeprowadzenie bardziej skomplikowanej rekonstrukcji, czas ten może wydłużyć się nawet do dwóch lat. Istotnym czynnikiem wpływającym na długość odbudowy jest również wiek pacjenta oraz jego ogólny stan zdrowia. Osoby starsze mogą potrzebować więcej czasu na regenerację, a także mogą być bardziej narażone na powikłania.
Jakie czynniki wpływają na czas odbudowy kości pod implanty?
Czas odbudowy kości pod implanty jest determinowany przez wiele czynników, które mogą znacząco wpłynąć na efektywność i szybkość procesu gojenia. Przede wszystkim, kluczową rolę odgrywa ogólny stan zdrowia pacjenta oraz jego styl życia. Osoby palące papierosy lub nadużywające alkoholu mogą doświadczać opóźnień w procesie gojenia ze względu na negatywny wpływ tych substancji na ukrwienie tkanek oraz zdolność organizmu do regeneracji. Kolejnym istotnym czynnikiem jest lokalizacja ubytku kostnego oraz jego rozmiar. Większe ubytki wymagają bardziej skomplikowanych zabiegów chirurgicznych i dłuższego czasu na regenerację. Również technika użyta do odbudowy kości ma znaczenie; nowoczesne metody, takie jak zastosowanie materiałów bioaktywnych czy kompozytów kostnych, mogą przyspieszyć proces gojenia.
Jakie metody stosuje się w odbudowie kości pod implanty?

Ile trwa odbudowa kości pod implanty?
W procesie odbudowy kości pod implanty stosuje się różnorodne metody, które są dostosowane do indywidualnych potrzeb pacjentów oraz charakterystyki ubytków kostnych. Jedną z najczęściej stosowanych technik jest przeszczep kostny, który polega na pobraniu fragmentu kości z innej części ciała pacjenta lub zastosowaniu materiałów syntetycznych. Przeszczepy autogenne, czyli pobrane z własnego organizmu pacjenta, mają najwyższą skuteczność i najmniejsze ryzyko odrzutu. Inną metodą jest zastosowanie biomateriałów, takich jak hydroksyapatyt czy kolagen, które wspierają proces regeneracji i stymulują wzrost tkanki kostnej. Technika augmentacji kości polega na zwiększeniu objętości tkanki kostnej za pomocą specjalnych materiałów wypełniających. W ostatnich latach coraz większą popularnością cieszy się także metoda regeneracji tkanek przy użyciu komórek macierzystych, która ma potencjał znacznie przyspieszyć proces gojenia i poprawić jakość odbudowanej kości.
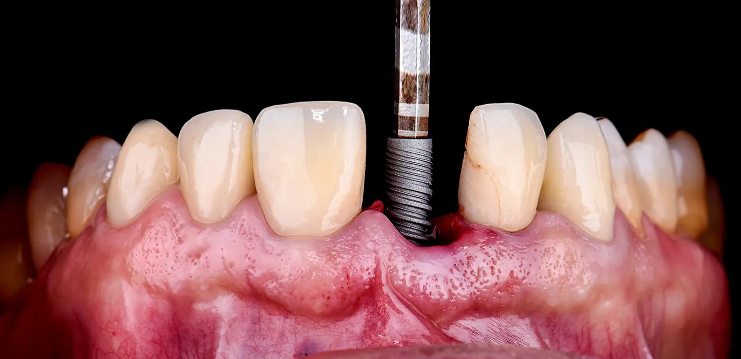
Jakie są etapy odbudowy kości pod implanty dentystyczne?
Odbudowa kości pod implanty dentystyczne to skomplikowany proces, który można podzielić na kilka kluczowych etapów. Pierwszym krokiem jest dokładna diagnoza oraz ocena stanu zdrowia pacjenta, co zazwyczaj obejmuje zdjęcia rentgenowskie lub tomografię komputerową w celu określenia rozmiaru i lokalizacji ubytków kostnych. Następnie lekarz podejmuje decyzję o odpowiedniej metodzie odbudowy kości oraz planuje zabieg chirurgiczny. Po przeprowadzeniu operacji następuje okres gojenia, który może trwać od kilku tygodni do kilku miesięcy w zależności od wybranej metody oraz indywidualnych predyspozycji pacjenta. W tym czasie organizm regeneruje tkankę kostną wokół wszczepionego materiału lub przeszczepu. Po zakończeniu procesu gojenia następuje kolejny etap – wszczepienie implantu dentystycznego, które również wymaga odpowiedniego czasu na integrację z kością.
Jakie są możliwe powikłania podczas odbudowy kości pod implanty?
Podczas odbudowy kości pod implanty mogą wystąpić różnorodne powikłania, które mogą wpłynąć na czas trwania całego procesu oraz jego efektywność. Jednym z najczęstszych problemów jest infekcja w miejscu zabiegu, która może prowadzić do opóźnienia gojenia oraz konieczności dodatkowego leczenia. Infekcje mogą być spowodowane nieodpowiednią higieną jamy ustnej, a także nieprzestrzeganiem zaleceń lekarza pooperacyjnego. Kolejnym powikłaniem jest resorpcja kostna, która może wystąpić, gdy tkanka kostna nie integruje się prawidłowo z wszczepionym materiałem lub implantem. W takich przypadkach konieczne może być przeprowadzenie dodatkowych zabiegów chirurgicznych w celu poprawy sytuacji. Również reakcje alergiczne na materiały użyte w procesie odbudowy mogą stanowić problem, chociaż są one stosunkowo rzadkie. Warto również pamiętać o ryzyku uszkodzenia sąsiednich struktur anatomicznych, takich jak nerwy czy naczynia krwionośne, co może prowadzić do bólu lub dysfunkcji w obszarze twarzy i jamy ustnej.
Jakie są zalecenia po zabiegu odbudowy kości pod implanty?
Po zabiegu odbudowy kości pod implanty niezwykle ważne jest przestrzeganie zaleceń lekarza, które mają na celu zapewnienie prawidłowego gojenia oraz minimalizację ryzyka powikłań. Pacjenci powinni unikać intensywnego wysiłku fizycznego przez kilka tygodni po operacji, aby nie obciążać miejsca zabiegu i umożliwić organizmowi regenerację. W tym okresie istotne jest również stosowanie się do zasad higieny jamy ustnej; należy regularnie myć zęby, ale unikać bezpośredniego kontaktu szczoteczki z miejscem operowanym, aby nie podrażnić tkanki. Lekarz może zalecić stosowanie specjalnych płynów do płukania jamy ustnej, które pomogą w utrzymaniu czystości i zapobieganiu infekcjom. Ważne jest także odpowiednie odżywianie; dieta bogata w białko oraz składniki mineralne wspiera proces gojenia. Pacjenci powinni unikać palenia tytoniu oraz spożywania alkoholu, ponieważ te substancje mogą negatywnie wpływać na regenerację tkanek. Regularne wizyty kontrolne u stomatologa są kluczowe dla monitorowania postępów gojenia oraz ewentualnego wykrycia problemów na wczesnym etapie.
Jak długo trwa pełna rehabilitacja po odbudowie kości pod implanty?
Pełna rehabilitacja po odbudowie kości pod implanty to proces, który może trwać od kilku miesięcy do nawet dwóch lat, w zależności od wielu czynników. Po zakończeniu zabiegu chirurgicznego pacjent musi przejść przez okres gojenia, który zazwyczaj trwa od trzech do sześciu miesięcy. W tym czasie organizm regeneruje tkankę kostną wokół przeszczepu lub materiału bioaktywnego. Po tym etapie następuje wszczepienie implantu dentystycznego, które również wymaga czasu na integrację z kością; ten proces może trwać od trzech do sześciu miesięcy lub dłużej w przypadku bardziej skomplikowanych przypadków. Po zakończeniu integracji implantu pacjent może przystąpić do kolejnych etapów rehabilitacji, takich jak wykonanie korony protetycznej czy innego uzupełnienia dentystycznego. Warto zaznaczyć, że czas rehabilitacji może być różny dla różnych pacjentów; osoby młodsze i zdrowe zazwyczaj regenerują się szybciej niż osoby starsze lub cierpiące na przewlekłe schorzenia.
Jakie są nowoczesne technologie w odbudowie kości pod implanty?
Nowoczesne technologie w odbudowie kości pod implanty znacząco zmieniają sposób przeprowadzania tych procedur i przyczyniają się do ich większej skuteczności oraz bezpieczeństwa. Jednym z najważniejszych osiągnięć jest rozwój biomateriałów, które wspierają proces regeneracji tkanki kostnej. Materiały te mogą być syntetyczne lub naturalne i mają za zadanie stymulować wzrost komórek kostnych oraz wspierać integrację z otaczającą tkanką. Innowacyjne techniki takie jak zastosowanie komórek macierzystych pozwalają na szybszą regenerację i lepszą jakość odbudowanej kości. Dzięki temu możliwe jest uzyskanie lepszych efektów estetycznych oraz funkcjonalnych. Kolejnym przykładem nowoczesnych rozwiązań są techniki obrazowania 3D, które umożliwiają dokładniejsze planowanie zabiegów chirurgicznych oraz precyzyjne dopasowanie implantu do indywidualnych potrzeb pacjenta. Technologia CAD/CAM pozwala na tworzenie spersonalizowanych uzupełnień protetycznych, co zwiększa komfort noszenia i estetykę końcowego efektu.
Jakie są koszty związane z odbudową kości pod implanty?
Koszty związane z odbudową kości pod implanty mogą być znacznie zróżnicowane i zależą od wielu czynników, takich jak lokalizacja gabinetu stomatologicznego, doświadczenie lekarza oraz zastosowane metody leczenia. W Polsce ceny za podstawowe procedury związane z odbudową kości wahają się od kilku tysięcy złotych do nawet kilkunastu tysięcy złotych za bardziej skomplikowane zabiegi wymagające przeszczepów kostnych czy użycia nowoczesnych biomateriałów. Koszt samego implantu dentystycznego również może się różnić w zależności od producenta i jakości materiału; ceny wahają się od około 2000 zł do 5000 zł za jeden implant. Dodatkowo pacjenci muszą uwzględnić koszty związane z konsultacjami lekarskimi, diagnostyką obrazową oraz ewentualnymi wizytami kontrolnymi po zabiegu.
Jak przygotować się do zabiegu odbudowy kości pod implanty?
Przygotowanie się do zabiegu odbudowy kości pod implanty jest kluczowym etapem, który ma wpływ na powodzenie całej procedury oraz późniejszy proces gojenia. Na początku warto umówić się na konsultację ze specjalistą stomatologiem lub chirurgiem szczękowym, który oceni stan zdrowia jamy ustnej i zdecyduje o najlepszej metodzie leczenia. Przed zabiegiem pacjent powinien przeprowadzić dokładną higienę jamy ustnej oraz zadbać o zdrową dietę bogatą w witaminy i minerały wspierające regenerację tkanek. Należy również unikać palenia papierosów oraz spożywania alkoholu przez co najmniej kilka dni przed operacją, ponieważ te substancje mogą negatywnie wpływać na proces gojenia. Ważne jest także poinformowanie lekarza o wszystkich przyjmowanych lekach oraz chorobach przewlekłych; niektóre leki mogą wpływać na krzepliwość krwi lub interakcje z anestetykami stosowanymi podczas zabiegu.




